Discreet Invisalign® clear aligners, AI-assisted digital planning and
bespoke care at Regent Dental, Cosmetic & Implant Clinic.

At Regent Dental, Cosmetic & Implant Clinic, we provide Invisalign® treatment in Ilkley using AI-assisted planning and a discreet, patient-focused approach.
If you would like to straighten your teeth with clarity and confidence, Invisalign® offers a modern solution using discreet clear aligners. Treatment is planned with precision, guided by detailed scans and clinical assessment, so you understand your options from the outset.
From your relaxing welcome through to long-term ongoing care, every stage is designed to feel clear, supportive and thoughtfully managed.
Based in Ilkley, we also welcome patients from Keighley, Skipton, Otley, Silsden and surrounding areas.
Book A ConsultationInvisalign® is an orthodontic treatment that straightens teeth using a series of clear, removable aligners. Each aligner is custom-made to fit your teeth closely and apply gentle, controlled pressure to guide movement over time.
At Regent Dental in Ilkley, we use advanced 3D digital scanning rather than traditional impressions. This improves accuracy, enhances comfort and allows us to plan tooth movement with precision. You will be able to see a digital preview of how your smile may evolve before treatment begins.
Aligners are typically worn for 20 to 22 hours each day and changed every one to two weeks as your teeth gradually move into alignment.
Discreet and nearly invisible
Removable for eating and oral hygiene
Smooth and comfortable to wear
Designed using detailed digital treatment planning
Invisalign® has become a popular choice for adults and teenagers who want effective teeth straightening without interrupting daily life.
The clear aligners are made from medical-grade translucent material, allowing you to smile, speak and work with confidence while undergoing treatment.
You can remove your aligners for meals, brushing and flossing. This supports good oral hygiene and allows you to maintain your usual routines with ease.
Because aligners are custom-designed from your digital scans, they fit closely and apply measured, gradual force. This controlled planning supports predictable movement while remaining comfortable to wear.
Using AI-assisted planning software, we can show you a digital simulation of your proposed tooth movement. This preview offers a helpful glimpse of what may be achievable. Your clinician will guide you through what is realistic for your individual case.
Improved alignment can make teeth easier to clean effectively. For many patients, this supports healthier gums and more confident day-to-day care.
When considering teeth straightening in Ilkley, it is helpful to understand the practical differences between Invisalign® and fixed braces. Both options aim to improve alignment and bite function. The most suitable choice depends on your clinical assessment and goals.
Appearance
Removable
Eating
Cleaning
Planning
Clear aligners
Yes
Remove to eat
Brush and floss as normal
Digital 3D simulation
Fixed brackets and wires
No
Adapt diet around appliance
Clean carefully around brackets
Clinical planning and adjustments
The Invisalign® cost depends on the complexity of movement required and the length of treatment.
At Regent Dental, we believe clarity around fees supports confident decision-making. Following your Photography & Scans and clinical assessment, we provide a detailed breakdown of:
We offer structured finance to help you spread the investment in your smile in a way that feels manageable. All recommendations are made following a full assessment to ensure suitability.

Every smile is unique. During your consultation, we can show examples of previous Invisalign® cases treated at our clinic.
This transparent planning approach allows you to make an informed decision before beginning treatment.
Your care follows our structured seven-step patient journey, designed to feel organised and reassuring from the first visit onwards.

Invisalign isn’t just for minor tweaks - it can be used to treat a wide range of orthodontic issues. Whether your teeth are crowded, spaced, or misaligned, Invisalign offers a discreet and effective solution tailored to your smile.
Underbite
Crossbite
Spacing or gaps
Minor relapse after previous orthodontics
Crowded Teeth
Suitability depends on a detailed assessment. Some complex cases may require alternative approaches, which we will discuss
openly if relevant.
Our priority is recommending treatment that supports long-term oral health and functional stability, not simply cosmetic
change.
Choosing an Invisalign® provider is about more than aligners. It is about trust, clarity and clinical judgement.
At Regent Dental, Cosmetic & Implant Clinic, our approach combines modern digital technology with attentive, patient-focused care.
We use advanced 3D scanning and AI-supported planning to enhance diagnostic precision. This supports accurate aligner design and clearer visualisation of proposed outcomes.
Our friendly dentists have done thousands of Invisalign® cases over the years. You can feel confident that you are in expert hands.
No two smiles are identical. Every smile is different. We create a custom Invisalign® plan that is made just for you, to help you get straight teeth comfortably and quickly.
Our Ilkley clinic has been thoughtfully designed to feel welcoming and composed. From consultation through to retention, you are supported at every stage.
We monitor your progress carefully and provide retainers at the end of treatment to help maintain your new alignment.
We offer clear and fair pricing with no hidden costs. Flexible payment plans are also available to make Invisalign® more affordable.
Our patients trust us to help them achieve a beautiful, confident smile with Invisalign®.
The Regent Dental Experience
The whole team at Regent Dental is dedicated to providing ongoing support throughout your Invisalign® treatment, ensuring you're confident and comfortable at every stage as well as making sure your teeth remain in place.
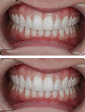
Invisalign® aligners offer a discreet and clear path to a straighter smile, improving your dental health and boosting your self-esteem.

As an Invisalign® provider, we utilise a combination of advanced 3D imaging technology to provide a personalised treatment plan to ensure that your journey to a straighter smile is smooth and efficient.
A detailed examination and digital scans form the basis for your custom aligner treatment.
You'll see a 3D simulation of your tooth movement over the course of your proposed treatment.
Using Invisalign®'s proprietary software, a series of aligners are designed that will move your teeth.
With regular check-ups, your progress is monitored as the treatment progresses.
You'll get fitted with a retainer to maintain your new smile and prevent future shifting.
If you are considering Invisalign® in Ilkley, we invite you to arrange a consultation at Regent Dental.
Experience a relaxing welcome, see your smile with AI-assisted scans, and explore a bespoke treatment plan designed with precision.
Contact Regent Dental today to book your consultation and take the first step towards straighter teeth and renewed confidence.
Book A Consultation


